• Load BestSystolic series and load using Right-click → ABDOMENCTA Runoff
  • 4 types of LAA anatomy 1
    • “chicken wing” (48%)
    • “cactus” (30%)
    • “windsock” (19%) - allows easiest measurement and implantation of LAAO devices
    • “cauliflower” (3%)

Pre-implant scan

  • CT provides accurate measurements of the LAA ostial diameter, landing zone diameter, and LAA length, which are vital for accurate sizing of the device. CT allows evaluation of the relationship with the pulmonary veins and other adjacent structures that can be injured during the procedure. CT also simulates procedural fluoroscopic angles and provides evaluation of the interatrial septum, which is punctured during LAA closure. (Source)
  • Create a 3D LAA
    • Select FreeROI → delete the whole 3D heart
    • Use Shift-Ctrl and draw on the portions of the heart corresponding to the LAA and relevant surrounding tissue → the LAA will “grow” 🪴 from this seed 🌱.
      • 📝 do this at end-systole (when LA and LAA are largest)
    • Try to render 3D LAA, Aortic Root, LAD, LCx
    • May need to do Right-clickLink to 3D
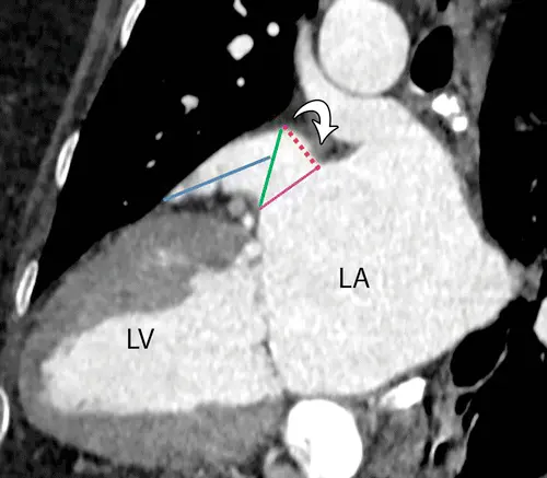
  • At CT, the landing zone is identified on the long-axis LAA view. For the Watchman device, the landing zone is located 10–20 mm inside the LAA from the Coumadin ridge (aka limbus). The landing zone diameters for the Watchman device are measured on an en-face-view CT image obtained at a line that connects the LAA adjacent to the left circumflex artery to the point 10–20 mm inward of the Coumadin ridge. 1
    • 📝 Movie 3 and 4 from 1 shows how to do this well.
      • Caption: Vertical long-axis-view CT image of the left ventricle (LV) shows how the landing zone for a Watchman device is identified at a distance of 10–20 mm (red dotted line) distal to the Coumadin ridge (arrow). The pink line is the LAA ostium. The landing zone diameter is measured in the plane between this point and the point where the left circumflex artery is located (green line). The length of the LAA is also measured on the same image from the landing zone to the tip of the dominant lobe (blue line).
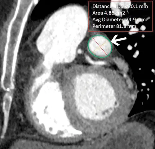
      • Caption: En-face-view CT image shows the cross-sectional view of the landing zone (arrow), where the maximum diameter, minimum diameter, and perimeter are measured.

Post-implant

  • CT can be used to pick-up complications including:
    • incomplete closure
    • peri-device leak
    • device-related thrombus
    • device dislodgement

Footnotes

  1. Rajiah P, Alkhouli M, Thaden J, Foley T, Williamson E, Ranganath P. Pre- and Postprocedural CT of Transcatheter Left Atrial Appendage Closure Devices. Radiographics. 2021 May-Jun;41(3):680-698. doi: 10.1148/rg.2021200136. PMID: 33939541. 2 3