• MAD is characterized by a systolic separation between the ventricular myocardium and the mitral annulus supporting the posterior mitral leaflet. Conversely, without MAD the mitral annulus remains attached to the atrial and ventricular myocardium/endocardium.1 
  • MAD is associated with the loss of mechanical annular function linked to its normal ventricular myocardial attachment but with maintained electrical function, isolating the left atrium and ventricle electrophysiologically.
  • In syndromic MVP, MAD prevalence is reported between 34% in patients with Marfan syndrome and 40% in carriers of Loeys-Dietz syndrome. In these cases, MAD is a marker of severe disease including more arrhythmic events, a higher need for mitral valve intervention, and among patients with extensive MAD, more arrhythmic events.
  • Why does MAD only seen posteriorly?
    • The circumferential extension of MAD is limited anteriorly by the mitro-aortic fibrous continuity, between the aortic cusps and the anterior leaflet of the mitral valve. As a consequence, MAD has been observed only at the insertion of the posterior leaflet. It can extend laterally variably under all scallops of the posterior leaflet but preferentially at the central posterior scallop.

Echo

  • curling” refers to the posterior movement of the mitral annulus and more broadly refers to the abnormal/excessive systolic upward motion of the posterior mitral annulus and of the adjacent postero-basal myocardium, with prominent basal myocardial wall thickening and hypertrophy
  • The mitral annulus position is best recognized in the long axis view zoomed on the mitral valve using the highest frame rate possible and by reviewing the images frame by frame. In this way, the thin structure of the annulus can be observed from early to late systole
  • The upper limit of MAD is defined at the level of posterior leaflet insertion on the annulus/left-atrial-wall, whereas the lower limit is defined at the level of the LV myocardium
  • The ventricular myocardium, having lost its basal attachment, bulges more apically than normal, forming the apical margin of the MAD trench
  • MAD length is measured in the parasternal long axis view (or equivalent sagittal views on CMR), from the insertion of the posterior leaflet on the detached mitral annulus to the border of the bulging LV myocardium.

Figure source: 1. TTE long-axis view in end-systole displaying bileaflet mitral valve prolapse with (A) MAD (yellow line) of 11 mm length vs. (B) without MAD. The red line indicates the plane of the mitral annulus.

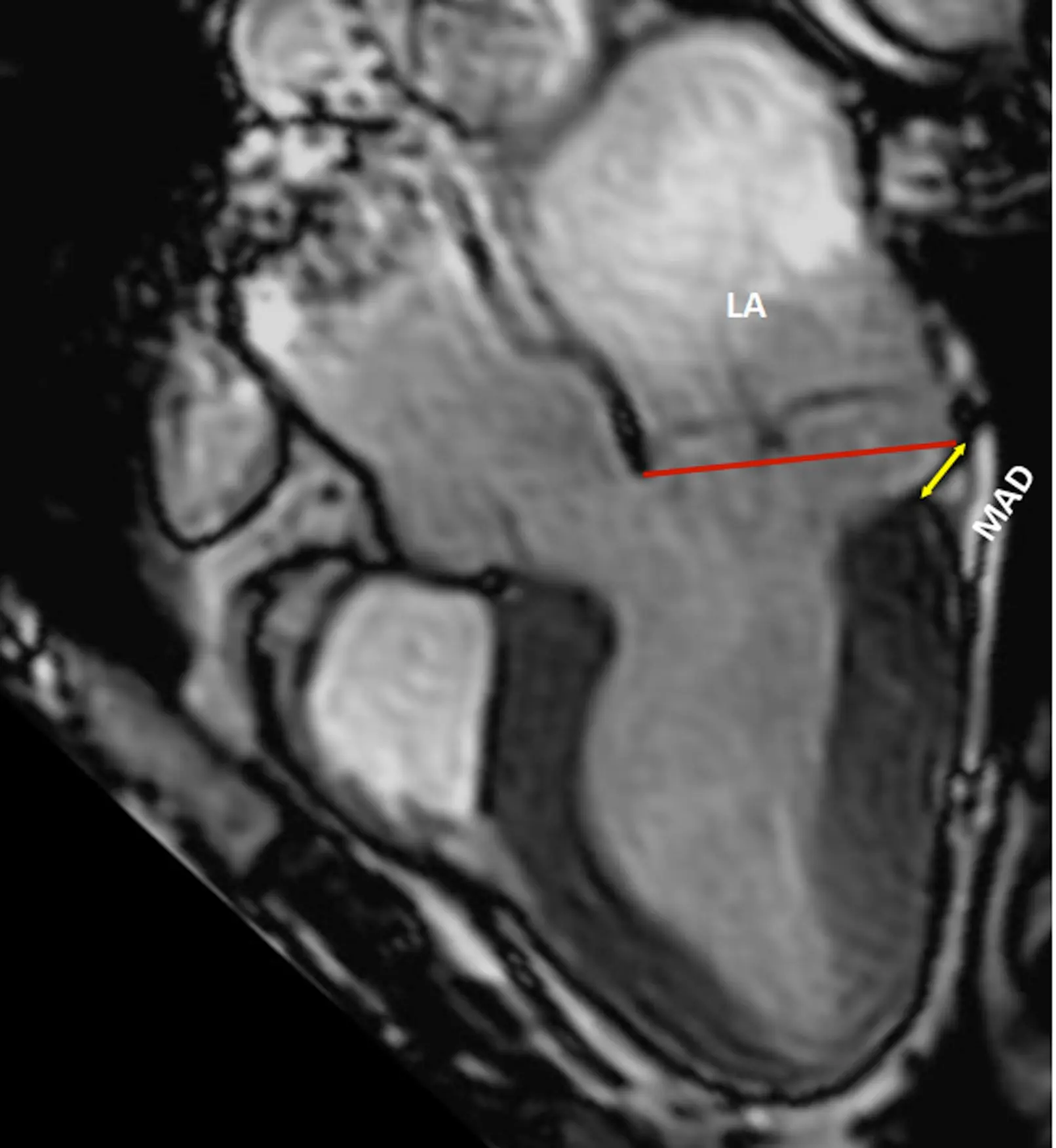
Figure source: 1. CMR long-axis view in end-systole displaying mitral valve prolapse with MAD (yellow arrow). The red line indicates the plane of the mitral annulus.

Footnotes

  1. Sabbag A, Essayagh B, Barrera JDR, Basso C, Berni A, Cosyns B, Deharo JC, Deneke T, Di Biase L, Enriquez-Sarano M, Donal E, Imai K, Lim HS, Marsan NA, Turagam MK, Peichl P, Po SS, Haugaa KH, Shah D, de Riva Silva M, Bertrand P, Saba M, Dweck M, Townsend SN, Ngarmukos T, Fenelon G, Santangeli P, Sade LE, Corrado D, Lambiase P, Sanders P, Delacrétaz E, Jahangir A, Kaufman ES, Saggu DK, Pierard L, Delgado V, Lancellotti P. EHRA expert consensus statement on arrhythmic mitral valve prolapse and mitral annular disjunction complex in collaboration with the ESC Council on valvular heart disease and the European Association of Cardiovascular Imaging endorsed cby the Heart Rhythm Society, by the Asia Pacific Heart Rhythm Society, and by the Latin American Heart Rhythm Society. Europace. 2022 Dec 9;24(12):1981-2003. doi: 10.1093/europace/euac125. PMID: 35951656; PMCID: PMC11636573. 2 3