-
Normal Aortic Valve
- Three thin cusps
- Unrestricted systolic opening
- Normal area 3 to 4 cm2 (some textbooks say 3-5 cm^2)
- Normal opening 2 cm leaflet opening
-
The AV is a semilunar valve typically with three cusps located close to the center of the heart.
-
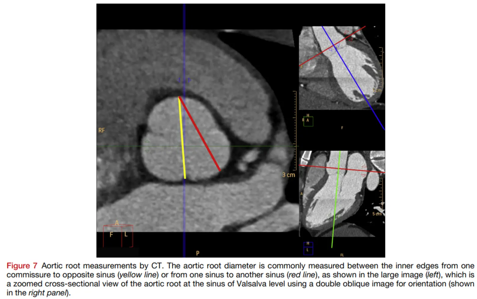
Methods for measuring the aortic valve on CT include 1
- commissure-to-cusp
- cusp-to-cusp
- Iyer mentioned that cusp-to-cusp is more consistent and in-line with Echo measurements
